Mission Statement
At Pierson and Saunders Orthodontics, it’s not just about straightening teeth – it’s about creating confident, joyful smiles that last a lifetime. We are committed to providing exceptional care where patients are known, valued, and treated like family. Our mission is to enrich lives through sincere connections, thoughtful, personalized care, and smiles that radiate genuine happiness.
Meet your Doctors

Meet Col. (Ret) Bradley Pierson, DDS
Col. Bradley Pierson’s family and work in orthodontics are two of the greatest sources of joy in his life. He is grateful for the opportunity he has every day as an orthodontist to give his patients something to smile about.
He has always enjoyed the technical aspects of orthodontics, but the most rewarding part of his profession is getting to know his patients and building relationships with them. Spending individual time with each patient to understand his or her needs and goals is an important part of Dr. Pierson’s approach as an orthodontist. He partners with his patients in helping them achieve their ideal smile. Seeing their happiness and beautiful smiles as a result of their diligent efforts is what he loves to do.
After completing his Doctor of Dental Surgery degree from Virginia Commonwealth University in 2003, Dr. Pierson entered the U.S. Air Force. During his advanced education in general dentistry residency (AEGD), he was exposed to all the dental specialties and made the decision to pursue orthodontics.
He was accepted into the Tri-Service Orthodontic Residency Program (TORP) at Lackland Air Force Base. Not only did this residency educate him in the art and science of orthodontics, but it also helped him gain appreciation for the value of dentists and specialists working together to provide optimal care in achieving patients’ goals.
Following specialty training, Dr. Pierson served as chief of orthodontics at Yokota Air Base, Japan, for three years. During this time, he was able to enhance his orthodontic treatment skills and gain valuable leadership experience that has helped him in his profession and many other aspects of his life.
He also had the opportunity to serve as the director of orthodontics for the oral maxillofacial surgery residency at Wilford Hall Medical Center. This allowed him to build upon his knowledge and treatment techniques in the areas of surgical orthodontics, craniofacial anomalies, cleft lip and palate.
Dr. Pierson is happy to continue to enhance that knowledge and share what he knows with residents of the orthodontic residency program at the University of Texas Health Science Center at San Antonio. Within this capacity, he serves as a member of the craniofacial anomalies board at The Children’s Hospital of San Antonio.
In an effort to stay current with the latest innovations and technology in orthodontics, Dr. Pierson attends study clubs and maintains membership with the American Association of Orthodontists®, World Federation of Orthodontists, Southwestern Society of Orthodontists, American Dental Association®, Texas Dental Association and the San Antonio District Dental Society.
He and his family stay actively involved in the community and hope to make each patient feel like they are part of their family.
Meet Dr. Kristin Saunders
Dr. Kristin Saunders grew up in beautiful San Diego, California. Her interest in orthodontics began there as she worked part time for an orthodontist.
She attended Mississippi State University, where she received a bachelor’s degree in biological engineering. Dr. Saunders then completed her dental training at Tufts University School of Dental Medicine in Boston, Massachusetts. She finally made her way down to Texas, where she completed her orthodontic residency at the University of Texas Health Science Center at San Antonio.
During her orthodontic training, she also received her master’s degree along with serving as chief resident and acquiring a list of outstanding educational achievements. Upon completing her professional training, she became board certified in the specialty of orthodontics along with accepting a part-time faculty position at the UT Health San Antonio orthodontic residency program.
Dr. Saunders has been involved in numerous outreach activities in the community, including screenings for athletes at the Special Olympics, oral health care to homeless veterans, cooking and serving food to the homeless, and even traveling to Ghana, Africa, where she volunteered at a school for the deaf at an orphanage.
Dr. Saunders is eager to continue learning even after her training in order to stay up to date with new technologies and treatment modalities to better treat her patients. She serves as a board member to her alumni association as well as being involved with numerous organizations and study clubs, including the American Association of Orthodontists®, Southwestern Society of Orthodontists, American Dental Association® and Texas Dental Association.
She met her husband while attending college in Mississippi, and they have been enjoying their life together with their daughter, Leila, and son, Leo. Outside of her professional life, you can find her out on the golf course, traveling and experiencing new places, and enjoying the company of her family, friends and two sweet Maltipoos.


Meet our experienced and knowledgeable orthodontists. Dr. Bradley Pierson and Dr. Kristin Saunders truly care about our patients and will provide you with a customized plan that will most efficiently achieve your smile goals. Call Pierson & Saunders Orthodontics today to learn more about our orthodontic care in Alamo Ranch and San Antonio, Texas, and schedule your next visit with us.
Meet the Team

Nichole Harmon
Office Manager
Nichole is originally from Bay City, Texas. She enjoys spending time with her husband, David, and her two children. They enjoy spending time outdoors, going to the beach and spending time with family. She has completed four half marathons and hopes to someday complete a full one. Nichole has been in the orthodontic field since 2008. Building relationships with patients and their families is one of her favorite things about working in the field.

Graciela Mancha
Treatment Coordinator
Gracie was born and raised in San Antonio, Texas. She enjoys spending time with her husband and two sons. She also enjoys traveling, running, and watching movies and crime shows on Netflix. Gracie’s favorite thing about her job is meeting the patients and their families and really getting to know them. She loves to see how excited they are about getting orthodontic treatment – especially the kids!

Stacee Gomez
Treatment Coordinator
Stacee was born and raised in the small town of Devine, Texas. She is the youngest of four siblings. In her free time, you can find her cheering courtside at her daughter’s basketball games or at home spending time with her fur babies. Stacee has many hobbies including sewing, doing nails, golfing and anything arts and crafts. She has been in the dental field since 2010. The most rewarding part of being an orthodontic assistant for her is helping to create beautiful smiles and building one’s confidence.

Yvette Gutierrez
Financial Coordinator
Yvette was born and raised in San Antonio, Texas. She has worked in the orthodontic field since 1994 and finds the most rewarding part of her job is meeting patients and seeing the transformation of their smile from beginning to end. In her free time, she loves to barbeque, workout, ride horses and barrel race with her daughter.

Melanie Flores
Assistant Finanacial Coordinator
Melanie is a native to San Antonio. She married her high school sweetheart, Ben, and together, they have three children. She describes her children as “pretty amazing”. She enjoys spending time with them – watching movies, eating and having game nights. She also enjoys date nights with her hubby and is an avid gym goer. What she loves most about working in the orthodontic field is contributing to everyone’s new smile and watching how it can change someone’s life. She says, “It’s truly remarkable and being a part of it is a true blessing.”

Esmeralda Payan
Community Outreach Specialist
Esmeralda, better known as Esme, is from Fort Worth, Texas. She says the best part of her day is getting a hug from a patient. Esme enjoys camping, fishing, traveling, the beach and just relaxing. She also enjoys watching sports, especially the Cowboys, Mavericks and Spurs!
Cheryl Dendy
Scheduling Coordinator
If you ask Cheryl where home is, she will say San Antonio. Although she was born in Dallas, she has lived in San Antonio for the past 20 years. Her and her husband, John, enjoy spending time with their beautiful children and grandkids. When she is not at work you might find her in the garden (as she has a bit of a “green thumb”) or eating some of her husband’s amazing BBQ. One thing she enjoys about the orthodontic field is seeing how happy the patients are when they get their braces off and seeing their beautiful smiles.

Mari Flores
Scheduling Coordinator
Mari has been in San Antonio since birth. She comes from a close-knit family that supports one another with anything they have going on. They love their movie marathons and the time they get to spend together. Mari’s favorite thing about working at Pierson & Saunders Orthodontics is getting to know the patients and creating relationships with them. She loves conversing with them and being a part of their smile journey. In her free time, Mari enjoys going to the gym. She also enjoys spending time with and loving on her Dachshund, Zuko – who she says is ”the apple of her eye”.

Jeunesse Perera
Clinical Lead
Jeunesse was born and raised in San Antonio. Jeunesse says the best reward about coming to work each day is getting to see the look on our patients’ faces when they get their braces off and their smiles look so beautiful. Jeunesse has a little boy. They love to be outdoors together and enjoy spending time at the park every chance they get.

Alex Dehoyos
Clinical Lead
Alex was born and raised in San Antonio, and just recently moved back from Austin, Texas. Alex comes from a small, tight-knit family along with two dogs named Jax and Rose. One of her favorite things about working in orthodontics is being a part of the smile journey of each patient. In Alex’s free time, she enjoys antique shopping, going on walks with her dogs and exploring small towns around Texas. Alex has a goal to visit all the national parks in the U.S.

Sonya Sambrano
Orthodontic Assistant
Sonya is from San Antonio. She finds joy in orthodontics by watching patients’ smiles and their confidence transform. It’s the most rewarding part of why she chose this career. When Sonya is not in the office, you’ll likely find her visiting new restaurants, catching the latest movie or cooking up something tasty with her fiancé!

Fay Sias
Orthodontic Assistant
Fay is from El Paso, Texas, and made the move to San Antonio in 2016. She comes from a big, loving family that’s all about quality time and delicious food. Fay finds joy in helping transform smiles and seeing the confidence it brings out in people. When she’s not creating smiles, you’ll find her at the gym, exploring hiking trails, diving into a good book or testing out new recipes!
Community Involvement
A big reason why we love what we do is the impact it has on people. One of the best parts of the job is seeing the happiness and confidence that a new, healthy smile can bring. But we don’t want our impact to stop in the office, which is why we make sure we take time to get involved in the San Antonio community through a wide range of community engagement activities. Check out a few of them below!
Career Day
We absolutely love going to career day at local schools and sharing our love for orthodontics with students. Their curiosity and enthusiasm is contagious and it’s great getting a chance to talk to them about what they want to be when they grow up. And hopefully, in the process, we inspire some future orthodontists!


Orthodontic evaluations don’t begin until after the age of 7, but that doesn’t mean younger siblings of patients don’t get curious sometimes! We always welcome the chance to give a younger sibling a crash course in orthodontics.


Food Bank Distribution
The food bank was such a great opportunity to give back locally. It gave our team a chance to get together outside of the office while supporting San Antonio families.

Costumes for Cancer Patients
Every September and October, we help collect Halloween costumes for local children who are undergoing cancer treatment. This is a simple way for us to hopefully bring a smile to a child during an otherwise difficult time.

Candy Buyback
Following every Halloween we sponsor a candy buyback at local schools where families can donate extra candy. Once a school fills up their container, we give them a prize of up to $500, and then donate the candy to the USO where they ship it overseas to troops.

Beanies for Cancer Patients
During the winter months we provide our patients with the opportunity to purchase a beanie for 10 dollars that is then donated to a local cancer patient to keep them warm during the colder parts of the year. A simple gesture that can mean a lot!

Ronald McDonald House
Every year we love hosting a pumpkin decorating contest between local dental offices. We cater lunch for the winning office and the pumpkins are donated to the San Antonio Ronald McDonald houses where families can enjoy them during Halloween.
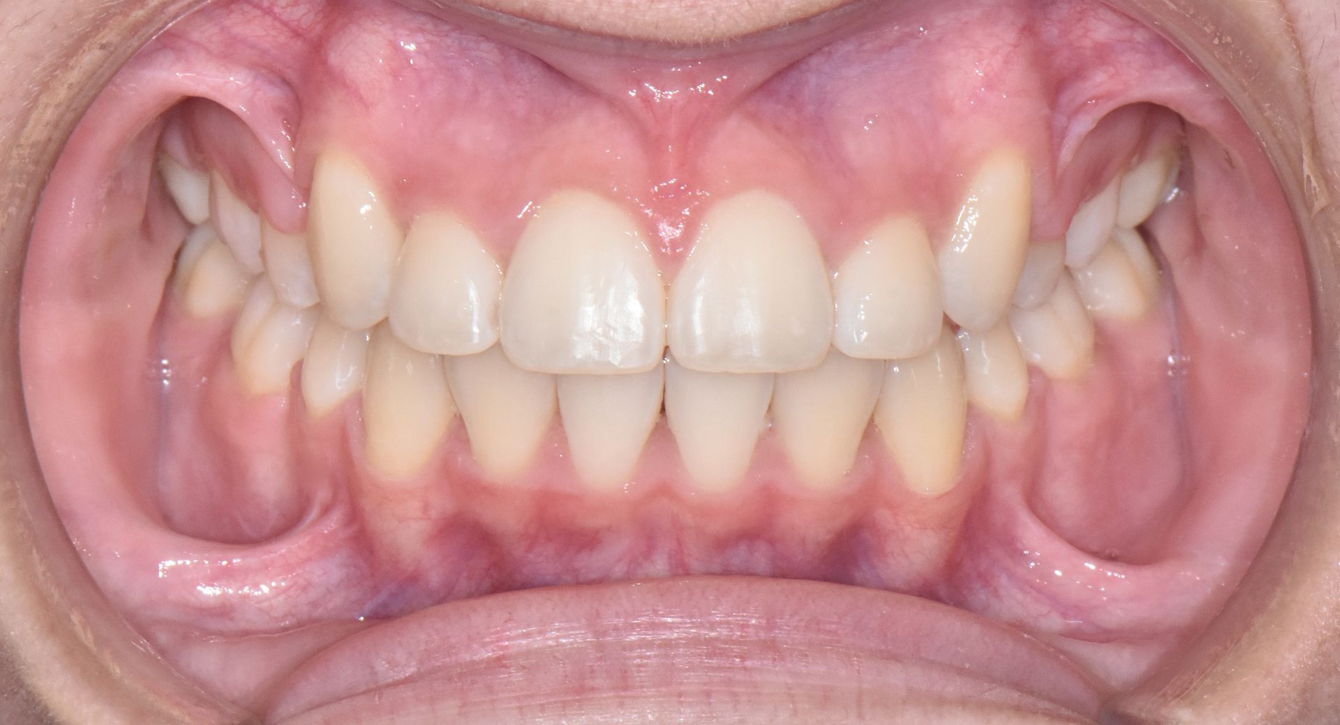
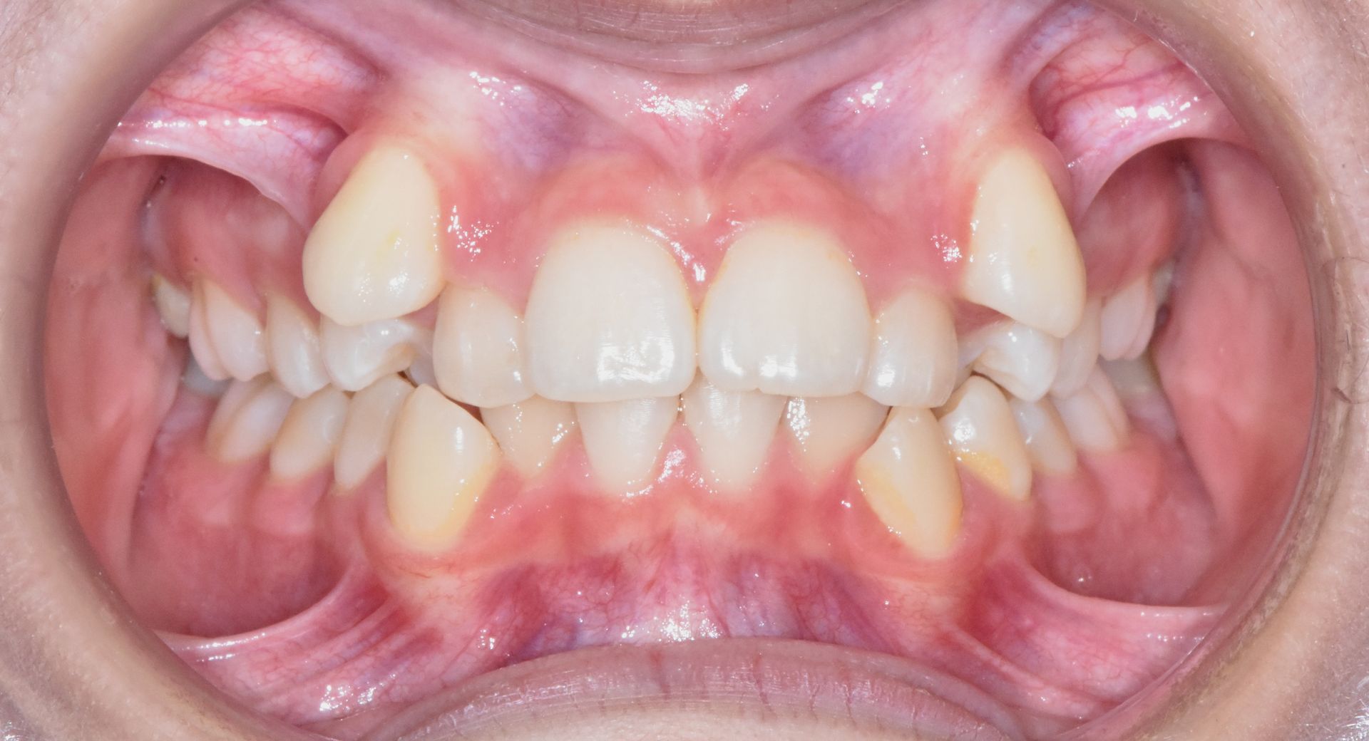
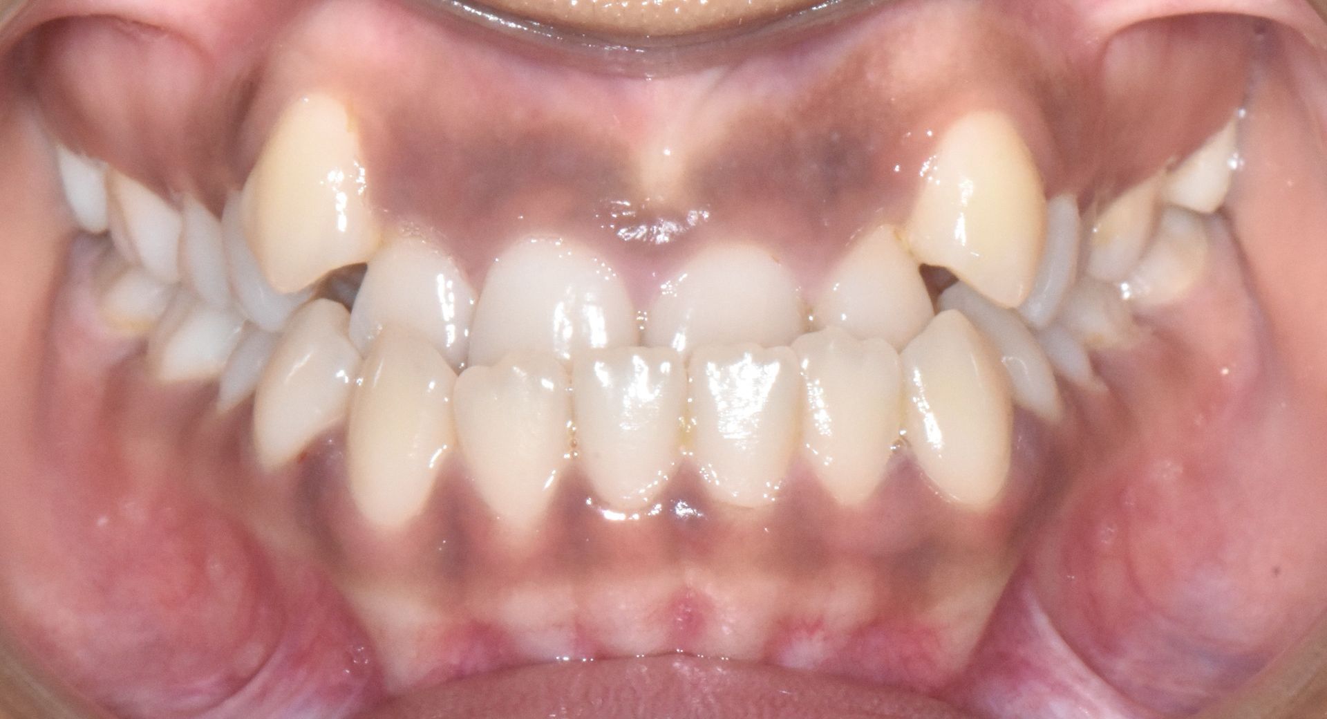
Smile Gallery
We take pride in helping our patients achieve a smile that they love. Explore our smile gallery to see transformations from some of our patients.



